Дослідженням патологічних явищ та пошуком їх лікування вчені займалися ще у 1000-1500 роках нашої ери. Лікарі з усього світу розробляли різні способи подолання важкого недугу. Це продовжується дотепер.
Чимало українських вчених присвятили своє життя діагностиці природи злоякісних і доброякісних новоутворень. Серед них варто виділити професора вірусології Леонтія-Людомира Дмоховського, першовідкривача вірусної природи ракових пухлин, пише iternopolyanyn.com.
Українське коріння Леонтія-Людомира Дмоховського
Майбутній професор народився 1 липня 1909 року в Тернополі, тоді – австрійській Галичині, у родині священника. Ймовірно, початкову освіту здобув у рідному місті. Навчався в українській державній чоловічій гімназії в Перемишлі, а згодом закінчив Львівський університет. Близько року працював лікарем загального профілю у львівській університетській клініці. За заслуги здобув наукову стипендію для дослідження раку. Тоді ж вирішив скористатися можливістю та переїхав до Варшави.
Леонтій-Любомир оселився у Варшаві, сучасній столиці Республіки Польща, деякий час перебував на посаді асистента в лабораторії онкології Державного інституту гігієни. У Варшавському університеті здобув ступінь доктора медицини, але назавжди в Польщі не залишився.

Після отримання наукового ступеня Дмоховський переїхав до Сполученого Королівства. З 1938 року працював при Королівському інституті дослідження раку. Його як вченого дуже цікавили патологічні явища, які почав досліджувати ще в лабораторії професора Гіршфельда в Польщі. Людвіг Гіршфельд – знаний польський мікробіолог, співвідкривач успадкування груп крові АВО.

Як науковець постійно вдосконалював свої знання. У Лідсі, що в Західному Йоркширі, Дмоховський здобув ще один докторат. Сюди приїхав у 1946 році. Одночасно працював дослідником і викладачем у медичному університеті.
Його спеціалізація – експериментальна патологія та дослідження раку, мікробіологія. Перебував у членстві багатьох наукових товариств: Королівському медичному товаристві, Британському товаристві загальної мікробіології, Королівському товаристві тропічної медицини й гігієни та інших.
Переїзд до США
У 1950-му став доцентом Лідзького університету. Можливо, український вчений залишився б в Сполученому Королівстві й продовжив свої дослідження у сфері патологій, якби не отримав цікаву пропозицію зі США.
Через рік після того, як Дмоховський став доцентом університету, його запросили виступити з доповідями в американських університетах і прочитати низку лекцій, на що вчений погодився. Невдовзі прийняв рішення залишитися у США, де й продовжив свої дослідження з вірусології, генетики, серології пухлин та інших галузей.

У 1953-1954-их Леонтій-Людомир Дмоховський обіймав посаду доцента-візитатора мікробіології при Коледжі терапевтів і хірургів. Тоді ж зробив низку успішних відкриттів з природи походження раку, що стали відомими у всьому світі й принесли науковцю славу. З 1949 по 1955 роки був консультантом Адміністрації ООН з допомоги та відновлення.
В 1954 році переїхав з Нью-Йорка до Г’юстона. Рік працював професором з анатомії в Медичному коледжі університету Бейлор, при Інституті раку завідував відділом вірусології й електронної мікроскопії, паралельно консультував у клініці й Онкологічному інституті ім. М. Д. Андерсона. Як професор вірусології викладав у Техаському і Колумбійському університетах.

Навіть після виходу на пенсію Леонтій-Людомир Дмоховський продовжив працювати професором-емеритом при інституті ім. М. Д. Андерсона. Шанований не лише колегами, але й своїми учнями. Під впливом Дмоховського сформувалося чимало видатних світових вірусологів, з’явилися послідовники. Не лише зі студентами, але й з досвідченими колегами ділився своїм цінними знаннями.
В США долучився до Товариства мікробіології, Товариства електронної мікроскопії, Товариства досліджень лейкемії, Чилійського товариства канцерології тощо.
Спеціаліст з вірусології та дослідник раку помер від серцевого нападу 26 серпня 1981 року під час відпустки в Мексиці. Доктору Дмоховському, який жив у Г’юстоні, було 72 роки.
Дослідження у галузі онкології й основні здобутки
У ХХ столітті чи не найбільше відкриттів вчені з усього світу зробили саме в галузі онкології. Це, зокрема, впровадження мамографії, ультразвукового дослідження для діагностики пухлин, відкриття онкомаркерів, томографії. Рак як і попередньо залишався невиліковним недугом, проте вчені знайшли шляхи його виявлення і спостереження за перебігом хвороби.
Усе своє життя Дмоховський зосередив навколо вивчення походження раку, його вірусної природи. І йому таки вдалося віднайти відповіді на свої запитання, хоч і частково. У 1953 році в США український вчений одним із перших дослідив і відкрив вірусне походження пухлин.

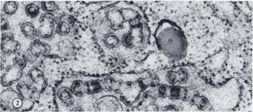
Леонтій-Людомир Дмоховський впровадив у застосування до онкологічної вірусології електронну мікроскопію. Цей прилад навіть зараз активно використовують для отримання додаткової інформації про досліджуваний матеріал і його структуру. За його допомогою вивчають найдрібніші структури клітин.
Американо-український дослідник є першим й у відкритті вірусу в лейкемії (онкологічному злоякісному захворюванні клітин крові). Довів, що вони трапляються не лише у тварин, але й серед людей. Висловлював чимало цікавих думок і робив наукові припущення щодо раку. Не всі вони віднайшли схвалення за життя науковця, багато прославили його ім’я вже після смерті. Досить оригінальним вважається застосування методів вивчення Дмоховським у співвідношенні вірусу до раку.

У 1971 році професор Дмоховський разом із колегами взяли зразок ракових клітин у хворого і в результаті експерименту виростили велику кількість вірусу з уражених клітин. Це стало важливим кроком у подальшому вивченні ракових клітин.
Попри те, що початкові гіпотези досліджень Леонтія-Людомира Дмоховського не були доведені, пророблена ним робота значно розширила знання в клітинній біології. А ще він є основоположником наукової школи вірусології в онкології.
Де публікувався і що публікував американо-український науковець?
Леонтій-Людомир Дмоховський протягом усього життя публікувався в численних наукових виданнях. Він є автором і співавтором понад 450 праць. Оскільки основне коло досліджень американсько-українського вченого зосереджувалося навколо вірусології, імунології, онкології та їх зв’язку, то саме вони лягли в основу доробків професора.
Йому належать розділи у таких відомих книгах: “The Book of Health”, “Diseases of Poultry” і “Advances in Cancer Research”. Публікуватися почав ще в Лондоні. Його статті розмістилися на сторінках тогочасної періодики “British Journal of Experimental Pathology”, “Journal of Pathology and Bacteriology”, “British Medical Journal” та інших.

У “Лідзький період” видавався в численних наукових журналах: “Journal of the National Cancer Institute”, “Annals of the New York Academy of Sciences”, “Advances in Cancer Research”, “Lancet” тощо.
Праці Леонтій-Людомир Дмоховський не втрачають актуальності дотепер. Їх активно використовують як попередній досвід при діагностиці походження злоякісної онкології, як матеріал в університетах, у медичних коледжах тощо. І це зовсім не дивно, адже Леонтій-Людомир Дмоховський заклав міцне підґрунтя для розвитку вірусології.