Исследованием патологических явлений и поиском лечения ученые занимались еще в 1000-1500 годах нашей эры. Врачи со всего мира разрабатывали разные способы преодоления тяжелого недуга. Это продолжается до сих пор, пишет iternopolyanyn.com.
Многие украинские ученые посвятили свою жизнь диагностике природы злокачественных и доброкачественных новообразований. Среди них следует выделить профессора вирусологии Леонтия-Людомира Дмоховского, первооткрывателя вирусной природы раковых опухолей.
Украинские корни Леонтия-Людомира Дмоховского
Будущий профессор родился 1 июля 1909 года в Тернополе, тогда – австрийской Галиции, в семье священника. Вероятно, начальное образование получил в родном городе. Учился в украинской государственной мужской гимназии в Перемышле, а затем окончил Львовский университет. Около года работал врачом общего профиля во львовской университетской клинике. За заслуги получил научную стипендию для исследования рака. Тогда же решил воспользоваться возможностью и переехал в Варшаву.
Леонтий-Любомир поселился в Варшаве, современной столице Республики Польша, некоторое время занимал пост ассистента в лаборатории онкологии Государственного института гигиены. В Варшавском университете получил степень доктора медицины, но навсегда в Польше не остался.

После получения ученой степени Дмоховский переехал в Соединенное Королевство. С 1938 г. работал при Королевском институте исследования рака. Его как ученого очень интересовали патологические явления, которые начали исследовать еще в лаборатории профессора Гиршфельда в Польше. Людвик Гиршфельд – известный польский микробиолог, сооткрыватель наследования групп крови АВО.

Как ученый постоянно совершенствовал свои знания. В Лидсе в Западном Йоркшире Дмоховский получил еще один докторат. Сюда приехал в 1946 году. Одновременно работал исследователем и преподавателем в медицинском университете.
Его специализация – экспериментальная патология и исследование рака, микробиология. Состоял в членстве многих научных обществ: Королевском медицинском обществе, Британском обществе всеобщей микробиологии, Королевском обществе тропической медицины и гигиены и других.
Переезд в США
В 1950 году стал доцентом Лидского университета. Возможно, украинский ученый остался бы в Соединенном Королевстве и продолжил свои исследования в области патологий, если бы не получил интересное предложение из США.
Через год после того, как Дмоховский стал доцентом университета, его пригласили выступить с докладами в американских университетах и прочесть ряд лекций, на что ученый согласился. Вскоре принял решение остаться в США, где он продолжил свои исследования по вирусологии, генетике, серологии опухолей и других отраслей.

В 1953—1954-х Леонтий-Людомир Дмоховский занимал должность доцента-визитатора микробиологии при Колледже терапевтов и хирургов. Тогда же сделал ряд успешных открытий по природе происхождения рака, которые стали известны во всем мире и принесли ученому славу. С 1949 по 1955 год был консультантом Администрации ООН по помощи и восстановлению.
В 1954 году переехал из Нью-Йорка в Хьюстон. Год работал профессором по анатомии в Медицинском колледже университета Бейлор, при Институте рака заведовал отделом вирусологии и электронной микроскопии, параллельно консультировался в клинике и Онкологическом институте им. М. Д. Андерсона. Как профессор вирусологии преподавал в Техасском и Колумбийском университетах.

Даже после ухода на пенсию Леонтий-Людомир Дмоховский продолжил работать профессором-эмеритом при институте им. М. Д. Андерсона. Уважаемый не только коллегами, но и своими учениками. Под влиянием Дмоховского сформировалось немало выдающихся мировых вирусологов, появились последователи. Не только со студентами, но и опытными коллегами делился своим ценными знаниями.
В США присоединился к Обществу микробиологии, Обществу электронной микроскопии, Обществу исследований лейкемии, Чилийского общества канцерологии и т.д.
Специалист по вирусологии и исследователь рака скончался от сердечного приступа 26 августа 1981 года во время отпуска в Мексике. Доктору Дмоховскому, жившему в Хьюстоне, было 72 года.
Исследования в области онкологии и основные достижения
В ХХ веке больше всего открытий ученые со всего мира сделали именно в области онкологии. Это, в частности, внедрение маммографии, ультразвукового исследования для диагностики опухолей, открытия онкомаркеров, томографии. Рак по-прежнему оставался неизлечимым недугом, однако ученые нашли пути его выявления и наблюдения за течением болезни.
Всю свою жизнь Дмоховский сосредоточил вокруг изучения происхождения рака, его вирусной природы. И ему удалось найти ответы на свои вопросы, хотя и частично. В 1953 году в США украинский ученый одним из первых исследовал и открыл вирусное происхождения опухолей.

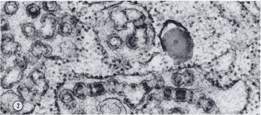
Леонтий-Людомир Дмоховский внедрил в применение к онкологической вирусологии электронную микроскопию. Этот прибор даже сейчас активно используют для получения дополнительной информации об изучаемом материале и его структуре. С его помощью изучают мельчайшие структуры клеток.
Американо-украинский исследователь является первым и в открытие вирусе в лейкемии (онкологическом злокачественном заболевании клеток крови). Доказал, что они встречаются не только у животных, но и среди людей. Высказывал немало интересных мнений и делал научные предположения о раке. Не все они обрели одобрение за жизнь ученого, многие прославили его имя уже после смерти. Весьма оригинальным считается применение методов изучения Дмоховским в соотношении вируса к раку.

В 1971 году профессор Дмоховский вместе с коллегами взяли образец раковых клеток у больного и в результате эксперимента вырастили большое количество вируса из пораженных клеток. Это явилось важным шагом в дальнейшем изучении раковых клеток.
Несмотря на то, что начальные гипотезы исследований Леонтия-Людомира Дмоховского не были доказаны, проделанная им работа значительно расширила знания в клеточной биологии. А еще он является основателем научной школы вирусологии в онкологии.
Где публиковался и что публиковал американо-украинский учёный?
Леонтий-Людомир Дмоховский на протяжении всей жизни публиковался в многочисленных научных изданиях. Он является автором и соавтором более 450 работ. Поскольку основной круг исследований американо-украинского ученого сосредотачивался вокруг вирусологии, иммунологии, онкологии и их связи, именно они легли в основу доработок профессора.
Ему принадлежат разделы в таких известных книгах: “The Book of Health”, “Diseases of Poultry” и “Advances in Cancer Research”. Публиковаться начал еще в Лондоне. Его статьи разместились на страницах тогдашней периодики “British Journal of Experimental Pathology”, “Journal of Pathology and Bacteriology”, “British Medical Journal” и других.

В “Лидский период” издавался в многочисленных научных журналах: “Journal of the National Cancer Institute”, “Anals of the New York Academy of Sciences”, “Advances in Cancer Research”, “Lancet” и т.д.
Труды Леонтий-Людомир Дмоховский не теряют актуальности до сих пор. Их активно используют как предыдущий опыт при диагностике происхождения злокачественной онкологии, как материал в университетах, в медицинских колледжах и т.д. И это совсем не удивительно, ведь Леонтий-Людомир Дмоховский заложил прочную основу для развития вирусологии.